Product Name :
PRMT6 monoclonal antibody Background :
Protein arginine N-methyltransferase 6 (PRMT6) is a member of the protein arginine N-methyltransferase (PRMT) family of proteins that catalyze the transfer of a methyl group from S-adenosylmethionine (AdoMet) to a guanidine nitrogen of arginine . The three types of PRMTs share the ability to mono-methylate arginine residues, but vary in their ability to generate differential methylation states . Mono-methylated arginine residues are further methylated by type I PRMTs to generate an asymmetric di-methyl arginine or by type II PRMTs to form a symmetric-dimethyl arginine. Type III methyltransferases are only able to mono-methylate arginine residues . PRMT6 is a type I PRMT that acts as both a transcriptional coactivator and a corepressor and catalyzes the asymmetric di-methylation of histone H3 (Arg 2, Arg42), histone H4 (Arg3), and histone H2A at Arg29 . PRMT6 acts as a coactivator for transcription factors, including estrogen receptor and NFκB, while asymmetric di-methylation of histone H3 (Arg2) by PRMT6 prevents MLL methylation of histone H3 at Lys4 and inhibits transcription activation . In addition to its role in regulating transcription, PRMT6 methylates DNA polymerase β, leading to enhanced DNA binding and processivity during base excision repair of damaged DNA . Product :
Liquid in PBS containing 50% glycerol, 0.5% BSA and 0.02% sodium azide, pH 7.3. Storage&Stability :
Store at 4°C short term. Aliquot and store at -20°C long term. Avoid freeze-thaw cycles. Specificity :
Recognizes endogenous levels of PRMT6 protein. Immunogen :
Purified recombinant human PRMT6 protein fragments expressed in E.coli. Conjugate :
Unconjugated Modification :
Unmodification
PRMT6 monoclonal antibody Background :
Protein arginine N-methyltransferase 6 (PRMT6) is a member of the protein arginine N-methyltransferase (PRMT) family of proteins that catalyze the transfer of a methyl group from S-adenosylmethionine (AdoMet) to a guanidine nitrogen of arginine . The three types of PRMTs share the ability to mono-methylate arginine residues, but vary in their ability to generate differential methylation states . Mono-methylated arginine residues are further methylated by type I PRMTs to generate an asymmetric di-methyl arginine or by type II PRMTs to form a symmetric-dimethyl arginine. Type III methyltransferases are only able to mono-methylate arginine residues . PRMT6 is a type I PRMT that acts as both a transcriptional coactivator and a corepressor and catalyzes the asymmetric di-methylation of histone H3 (Arg 2, Arg42), histone H4 (Arg3), and histone H2A at Arg29 . PRMT6 acts as a coactivator for transcription factors, including estrogen receptor and NFκB, while asymmetric di-methylation of histone H3 (Arg2) by PRMT6 prevents MLL methylation of histone H3 at Lys4 and inhibits transcription activation . In addition to its role in regulating transcription, PRMT6 methylates DNA polymerase β, leading to enhanced DNA binding and processivity during base excision repair of damaged DNA . Product :
Liquid in PBS containing 50% glycerol, 0.5% BSA and 0.02% sodium azide, pH 7.3. Storage&Stability :
Store at 4°C short term. Aliquot and store at -20°C long term. Avoid freeze-thaw cycles. Specificity :
Recognizes endogenous levels of PRMT6 protein. Immunogen :
Purified recombinant human PRMT6 protein fragments expressed in E.coli. Conjugate :
Unconjugated Modification :
Unmodification
-
Western blot analysis of PRMT6 expression in Hela (A), 293T (B) whole cell lysates. -
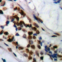
Immunohistochemical analysis of PRMT6 staining in human breast carcinoma formalin fixed paraffin embedded tissue section. The section was pre-treated using heat mediated antigen retrieval with sodium citrate buffer (pH 6.29). The section was then incubated with the antibody at room temperature and detected using an HRP conjugated compact polymer system. DAB was used as the chromogen. The section was then counterstained with haematoxylin and mounted with DPX. -
Immunohistochemical analysis of PRMT6 staining in human breast carcinoma formalin fixed paraffin embedded tissue section. The section was pre-treated using heat mediated antigen retrieval with sodium citrate buffer (pH 6.29). The section was then incubated with the antibody at room temperature and detected using an HRP conjugated compact polymer system. DAB was used as the chromogen. The section was then counterstained with haematoxylin and mounted with DPX.
Bioworld Biotech only provide peptides for our antibodies and do not provide additional peptide customization services.
Price/Size :
USD 368/1mg/vial
Tips:
For phospho antibody, we provide phospho peptide(0.5mg) and non-phospho peptide(0.5mg).Describe :
Blocking peptides are peptides that bind specifically to the target antibody and block antibody binding. These peptide usually contains the epitope recognized by the antibody. Antibodies bound to the blocking peptide no longer bind to the epitope on the target protein. This mechanism is useful when non-specific binding is an issue, for example, in Western blotting (WB) and Immunohistochemistry (IHC). By comparing the staining from the blocked antibody versus the antibody alone, one can see which staining is specific; Specific binding will be absent from the western blot or IHC performed with the neutralized antibody.Formula:
Synthetic peptide was lyophilized with 100% acetonitrile and is supplied as a powder. Reconstitute with 0.1 ml DI water for a final concentration of 10 mg/ml.The purity is >90%,tested by HPLC and MS.
Storage:
The freeze-dried powder is more stable. For short time at 2-8°C. For long term storage store at -20°C.
Note :
This product is for research use only (RUO only). Not for use in diagnostic or therapeutic procedures.
PRMT6 monoclonal antibody
Datasheet
COA
MSDS
SHIP